
Notes from the Field: Undiagnosed Tuberculosis During Pregnancy Resulting in a Neonatal Death - United States, 2021
Published on December 7, 2023
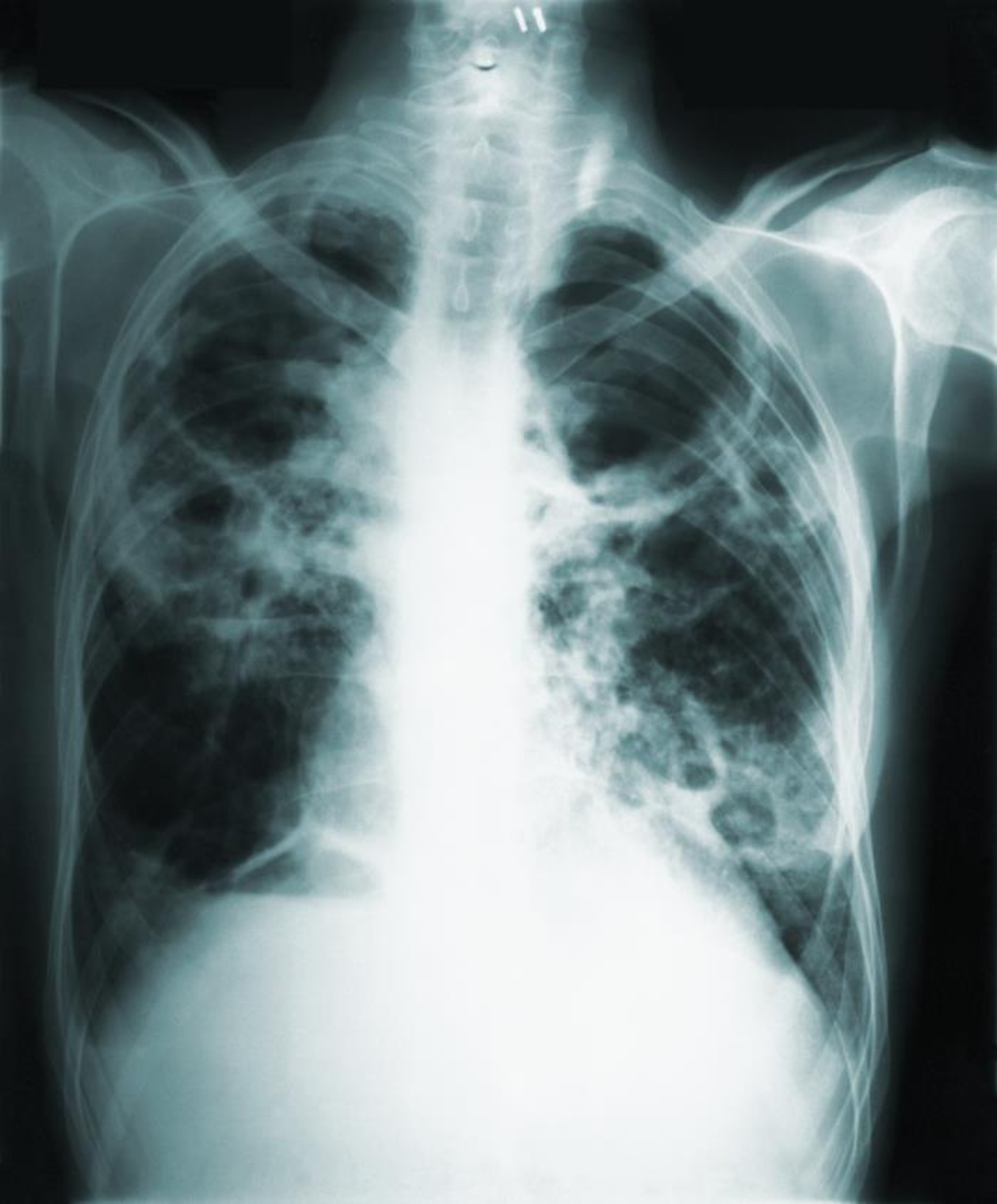
This report describes an infant death following a case of undiagnosed tuberculosis during pregnancy.

This report describes an infant death following a case of undiagnosed tuberculosis during pregnancy.